Матрицы контурные лавсановые: |
| Матрицы контурные лавсановые предназначены для обеспечения оптимального контурирования пломбы. Они позволяют сократить объем шлифовальных операций после отверждения пломбы. Применяются совместно с матрицедержателями и фиксирующими клиньями для свето- и химически отверждаемых материалов. Толщина 50 - 70 мкм. Наличие 4-х форм матриц для премоляров и 4-х форм матриц для моляров позволяет практикующему врачу выбрать оптимальíый тип матрицы для каждого конкретного клинического случая. |
Для премоляров |
Для моляров |
||
форма 1центральный выступ |
N 1.090(1) | N 1.091(1) | |
форма 2билатеральная |
N 1.090(2) | N 1.091(2) | |
форма 3выступ справа |
N 1.090(3) | N 1.091(3) | |
форма 4выступ слева |
N 1.090(4) | N 1.091(4) | |
| Матрицы выпускаются как по отдельности (N 1.090 и N 1.091 - по 30 матриц одной формы), так и в наборах (N 1.090 и N 1.091). Все формы матриц для моляров и премоляров представлены в универсальном наборе N 1.092. При заказе матриц №№ 1.090 и 1.091 просьба указывать их форму - например, № 1.090(3). |
Матрицы контурные лавсановые секционные: |
| Матрицы контурные лавсановые секционные используются при реставрации по II классу, а также для воссоздания контактных поверхностей передних зубов. Все матрицы объемные, вогнутые. |
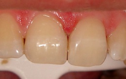
Клинические случаи:Случай 1. |
| перед реставрацией | ||
| после проведения реставрации |
Случай 2. |
| перед реставрацией | ||
| после проведения реставрации |
Варианты установки матриц. |















